الأربعاء 29-04-2026

من الأذن إلى الجمجمة.. انهار ونقل للمستشفى بسبب 'عود القطن'

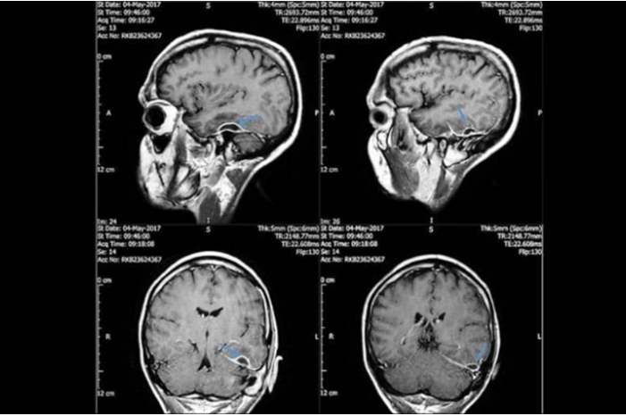
capture-png-24331115751556043

قد يستهين البعض بالضرر الذي يمكن أن ينجم عن استخدام أعواد القطن أثناء محاولة تنظيف الأذنين، ولكن القصة التالية توضح مثالا واحدا فقط لمثل هذا الضرر.


فقد نقل رجل إلى المستشفى على عجل بعد انهياره، ليكتشف الأطباء أنه مصاب بعدوى في جمجمته تسببت بها قطعة قطن علقت في أذنه، بحسب صحيفة "ميل أونلاين" البريطانية.


وقبيل انهياره، تعرض الرجل، وهو إنجليزي من منطقة كوفنتري، إلى نوبات تشنج وصداع وألم في الأذن، بالإضافة إلى حالات تقيؤ.


كذلك صار الرجل، الذي لم يكشف عن اسمه، ينسى الأسماء ويجاهد من أجل تذكرها.


وقبل انهياره، كان الرجل يخضع للعلاج من التهاب حاد في الأذن عند طبيب عام، غير أنه لم يشف من الالتهاب واستمرت معاناته، قبل أن يكتشف الأطباء في المستشفى، المشكلة الحقيقية.


ففي المستشفى، اكتشف الأطباء أن المشكلة "باتت" أعمق مما كان يعتقد وأنها توجد داخل جمجمته.

 

اظهار أخبار متعلقة


وبمجرد اكتشاف السبب، بدأت عملية علاجه بمشاركة أطباء من مستشفى كوفنتري الجامعي وهيئة الصحة البريطانية.


وكتب اختصاصي الأنف والأذن والحنجرة ألكساندر تشارلتون في الدورية العلمية المتخصصة "بي أم جاي" قائلا "للمريض تاريخ في العلاج من ألم في الأذن اليسرى وتراجع حاسة السمع على مدى السنوات الخمس الماضية".


وأشار إلى أن المريض أصبح يعاني من صعوبة في تذكر الأسماء في الأيام الأخيرة رغم أنه لا يعاني من أي أمراض أو أعراض عصبية".


الغريب في الأمر أن المريض لم يصب بأي حمى وكشفت الفحوصات الجسدية عدم تعرضه لأي إصابة.


وبعد معالجته بالمضادات الحيوية، قرر الأطباء فحص أذنيه مع تخديره تخديرا عاما.


وعندها تبين لهم أن قنوات الأذن عنده مصابة بالتهاب حاد مع وجود "أوساخ عالقة" سببتها قطعة قطن.


ولم يعرف منذ متى توجد قطعة القطن في أذن الرجل، لكنه يعاني من تراجع قوة سمعه منذ 5 سنوات.


وقال الأطباء إن قطعة القطن في أعواد القطن قد تعلق في الأذن، وهو أمر شائع في التسبب بالالتهابات وأمراض أخرى، لكن حالة الرجل غير معهودة من قبل.


وتمت معالجة المريض، بينما شخصت حالته بأنها عدوى غير شائعة تسمى "عدوى القناة السمعية الخارجية".


وبحسب الأطباء فإن الالتهاب أصاب الخلايا داخل الجمجمة، ولم يصل إلى خلايا الدماغ.


وبعد 6 أيام من العلاج، لوحظ تحسن في حالته وتراجع الالتهاب في خلايا الجمجمة، وشفي تماما بعد 10 أسابيع.