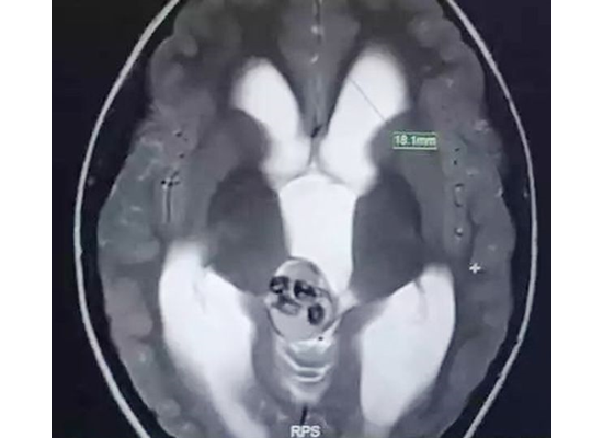
في حالة طبية غريبة تُعد الأولى من نوعها، عثر أطباء من مستشفى الأطفال في جامعة تشجيانغ الطبية، شرق الصين، على 9 أسنان تنمو داخل دماغ طفل يبلغ من العمر 5 أعوام.
وذكرت صحيفة “ميرور” البريطانية، اليوم الأربعاء، أن الطبيب “شن زهيبنج” من الجامعة الطبية الصينية، نجح في إزالة الأسنان، في عملية جراحية معقدة استمرت 6 ساعات.
اظهار أخبار متعلقة
وأوضح زهيبنج أن حالة الطفل ناجمة عن ورم نادر لم يكتشف منذ ولادته، حيث شكل هياكل عظمية من الأسنان داخل دماغه.
وبيّن أن الطفل، الذي لم يكشف عن اسمه، كان يعاني من صداع وإغماء وتقيؤ مُستمر، داعيًا الآباء في حال ظهور مثل هذه الأعراض على أطفالهم لمدة 4 أسابيع، إلى ضرورة فحص أدمغتهم من الأورام لعلاجها مبكرًا.


